- İspanya’da bir diş kaplamasının maliyeti nedir?
- Diş kaplamaları nedir?
- Diş kaplamalarının faydaları
- Farklı diş kaplama türleri
- Diş kaplamaları kimler için tasarlanmıştır?
- Diş kaplamaları nasıl uygulanır?
- Diş kaplamaları uygulandıktan sonra ne gibi önlemler almalıyım?
- İspanya’da diş kaplamalarının maliyeti nedir?
İspanya’da bir diş kaplamasının maliyeti nedir?
İspanya’da bir diş kaplamasının ortalama maliyeti 430 €’dur. İhtiyaçlarınıza bağlı olarak, 14 dişe sahip bir Hollywood Gülüşü 5.500 ila 6.500 € arasında değişebilir.
| Kompozit diş kaplaması | 380 € |
| Seramik diş kaplama | 450 € |
| Lumineers diş kaplaması | 750 € |
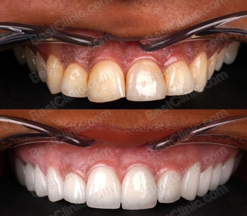
Diş kaplamaları nedir?
Diş kaplamaları, dişlerin dışına yerleştirilen ince seramik veya kompozit filmler veya kabuklardır. Genellikle yaklaşık 0,5 mm kalınlığındadırlar. Bu kaplamalar kesici ve köpek dişlerine, hatta küçük azı dişlerine bile uygulanabilir. Diş kaplamaları görünür dişlerin görünümünü düzeltir, görünüşlerini, konumlarını veya renklerini maskeler.

Uygulaması kolay ve implant veya kuronlardan daha ucuz olan estetik bir çözümdür. İnvaziv cerrahi gerektirmeyen kaplamalar uzun ömürlü sonuçlar sağlar. Ortodontik veya protetik tedavinin yerini almasalar da, uzun vadede gülümsemeyi uyumlu hale getirirler. Yıllar boyunca hayalini kurduğunuz gülümsemeye sahip olacaksınız.
Diş kaplamalarının faydaları
Diş kaplamaları bir dizi avantaj sunarak dişlerinizin görünümünü iyileştirir:
- Diğer diş cihazlarına göre daha ucuzdurlar;
- İnvaziv bir prosedür değildir;
- Diş minesini korurlar ve fazla diş minesinin çıkarılmasını gerektirmezler, bu da periodontal hastalık riskini azaltır;
- Ölçüye göre yapıldıkları için rahatça takılabilirler;
- Uzun ömürlüdürler.
Farklı diş kaplama türleri
Esas olarak kullanılan malzemelere bağlı olarak farklı diş kaplama türleri vardır.

Kompozit diş kaplamaları
Kompozit diş kaplamaları diş rengindeki reçineden yapılır. Seramik kaplamaların aksine, bu kaplamalar dişlerin özel olarak hazırlanmasını gerektirmez. İki teknik kullanılarak takılabilirler:
- Kaplamanındoğrudan diş hekiminde, ağzınızda yapıldığıdoğrudan uygulama;
- Seramik kaplamalarda olduğu gibi, kaplamaların kalıplama işleminden sonra bir diş teknisyeni tarafından yapıldığıdolaylı uygulama.
Kompozit kaplamalar seramik kaplamalardan daha ucuzdur, ancak renkleri daha dengesizdir ve biraz daha az sağlamdırlar.
Seramik diş kaplamaları
Bunlar, şekillerini veya renklerini düzeltmek için dişlerin dışını kap layan ince kabuklardır. Bu kaplamalar hastanın gülüşünü düzeltmek için mevcut dişlere yapıştırılır.
Seramik veneerler arasında Lumineers ve Glamsmile v eneerler yaklaşık 30 yıldır yaygın olarak kullanılmaktadır ve mükemmel bir üne sahiptir. Bunlar çok ince, peliküler seramik kaplamalardır, en fazla 0,3 mm kalınlığındadır.
Ayrıca bakınız: Türkiye’de Lumineers veneer fiyatları

Ayrıca son derece güçlüdürler ve 20 yıldan fazla dayanabilirler. Ancak, işlenmeleri biraz daha uzun sürer. Dahası, sadece dişlerinde hafif kusurlar olan, deformasyon veya üst üste binme olmayan hastalara sunulabilirler.
Diş kaplamaları kimler için tasarlanmıştır?
Diş kaplamaları, çok sayıda farklı sorunu ele alan çok popüler bir estetik tedavidir:
- Lekeli veya sararmış olabilecek dişlerin rengini değiştirmek.
- Dişlerin şeklini değiştirmek. Kesici dişler veya köpek dişleri çok kısa veya çok küçük olabilir.
- Yanlış hizalanmış dişleri veya aralarında eşit olmayan boşluklar bulunan dişleri maskelemek.
Bununla birlikte, diş kaplamaları aşağıdaki kişiler için önerilmez
- bruksizm veya diş eti iltihabı veya periodontitis gibi periodontal hastalıklardan muzdarip olanlar.
- hasarlı veya kötü konumlanmış dişlere sahip olanlar.
- mine eksikliği olan.
Kısacası, diş kaplamaları gülüşlerini uyumlu hale getirmek, daha beyaz bir renk elde etmek veya görünen dişlerindeki küçük kusurları düzeltmek isteyen kişiler için uygundur.

Hollywood Gülüşü, film yıldızlarının mükemmel gülüşüne bir göndermedir. Bu güzellik ideali diş kaplamaları ile elde edilebilir.
Diş kaplamaları nasıl uygulanır?
Diş hekimi, iyi bir ağız hijyenine sahip olduğunuzdan emin olmak için dişlerinizin kapsamlı bir muayenesini yapacaktır.
İlk seansta diş hekimi dişleri hazırlar. Bunu yapmak için, diş minesinin kalınlığını azaltır ve kaplamaları alacak dişlerin yüzeyini törpüler. Bir kaplama sadece yaklaşık 0,5 mm kalınlığındadır.
Daha sonra, diş hekimi gülüşünüzün bir fotoğrafını çekecek ve dişlerinizin röntgenini çekecektir. Ayrıca dişlerinizin ölçülerini alacak ve bunları kaplamaları ölçüye göre yapacak olan protez laboratuvarına gönderecektir.

Birkaç hafta sonra diş hekimi kaplamaları uygulayacaktır. Diş hekimi diş yapıştırıcısı ve polimerize edici bir lamba kullanır. Bu aşama genellikle lokal anestezi altında gerçekleştirilir. Ağrılı değildir, ancak uzun sürdüğü için rahatsız edici olabilir. Her diş için 30 ila 60 dakika arasında sürer. Bu nedenle yeni gülüşünüzü elde etmek için üç veya dört seans gerekebilir.
Doğrudan dişlerinize uygulanan kompozit kaplamaları seçtiyseniz, diş hekimi bunları diş kalıbı olmadan doğrudan uygulayabileceğinden yalnızca bir seans gerekir.
Diş kaplamaları uygulandıktan sonra ne gibi önlemler almalıyım?
Diş kaplamalarınızın ömrünü en üst düzeye çıkarmak için ağzınıza kusursuz bir şekilde bakmanız gerekir. Özellikle, dişlerinizi yumuşak bir diş fırçası ve florür içeren diş macunu kullanarak günde en az iki kez fırçalamalısınız.
Dişler arasındaki boşlukları temizlemek için her gün diş ipi veya diş arası fırçası kullanmanız da tavsiye edilir.

İspanya’da diş kaplamalarının maliyeti nedir?
İspanya’da kompozit diş kaplamasının birim fiyatı 380 €, seramik kaplamanın 480 € ve Lumineers kaplamanın 750 €’dur. Bu fiyata diş kaplamalarının takılması için diş hekiminin ücreti, anestezi ürünleri ve ilaçlar dahildir.
Seçim yapmakta zorlanıyorsanız, işleminizi başarılı bir şekilde ve daha düşük bir ücretle gerçekleştirmenize yardımcı olabiliriz.
ÜCRETSİZ değerlendirmeden yararlanın!
Talep üzerine ve
sizin açınızdan herhangi bir taahhüt olmadan.
%100 ücretsiz danışmanlık. Durumunuzu, ihtiyaçlarınızı ve beklentilerinizi analiz ediyoruz. Ve gerekli bütçeyi şöyle tahmin ediyoruz: Uçak + Otel + Taksi + Tedavi.
Her zaman, yürütülen sürecin tam kontrolünü elinizde tutarsınız. Tam bir huzur.