Macaristan’da All-on-8’in fiyatı
Macaristan’da Budapeşte’de bir All-on-8’in ortalama maliyeti 7.000 €’dur. İhtiyaçlarınıza bağlı olarak fiyat 6500 € ile 7500 € arasında değişebilir.
| Prosedür | Macaristan Fiyatı |
|---|---|
| Hepsi 8’de | 7000 € |
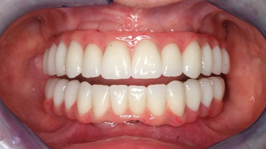
All-on-8 nedir?
Macaristan’daki All-on-8 diş implantları, dişlerinin çoğunu veya tamamını kaybetmiş hastalar için yeni bir cerrahi çözümdür. All-on-8 protez, hastanın hem üst hem de alt çenesinde tam bir diş setinin değiştirilmesi için uygundur.
Bu diş restorasyon tekniği, implantların stratejik olarak ve belirli açılarda yerleştirilmesini içerdiğinden, yeterli stabilite ve güç sağlamak için sekiz titanyum implant gereklidir. Artık sallanan çıkarılabilir protezler ve azalan çiğneme yok! Sekiz protez, kaybolan çiğneme işlevini geri kazandırarak en sevdiğiniz yemeklerin tadını tekrar çıkarmanızı sağlayacaktır.

Macaristan’da hepsi bir arada protezlerin avantajları
Macaristan’daki all-on-8 implantlar hastalara birçok fayda sağlamaktadır; bunların en önemlileri gelişmiş estetik, dayanıklılık ve doğal çiğneme işlevselliğidir.
- Macaristan’daki all-on-8 diş protezi, üst veya alt çenedeki tüm dişlerini kaybetmiş olan ve tam olarak oturmayan, zamanla gevşeyebilen veya doğal dişlerle aynı çiğneme işlevselliğini sunamayan çıkarılabilir protezleri tercih etmek istemeyen hastalar için mükemmel bir çözümdür;
- Budapeşte’de geliştirilen bu teknik, alt ve üst çeneyi restore etmek için kullanılabilir, ancak üst çene için iki ek titanyum implant gerekebilir;
- All-on-8’ler, periodontal hastalık veya kemik çekilmesinden muzdarip hastalar için bile iyi bir çözüm olabilir;
- Azaltılmış genel maliyet ve artırılmış dayanıklılık;
- Geliştirilmiş estetik ve çiğneme fonksiyonu.

Macaristan’da All-On-8 protezlerin dezavantajları
All-On-8 diş implantlarının lehine olan birçok avantajın yanı sıra, birkaç dezavantaj da vardır:
- Tüm hastalar bu prosedürden faydalanamayabilir;
- İmplant başarısızlığı riski vardır, ancak bu risk düşüktür.
Macaristan’daki 8’e 8 maç için ideal aday
Diyabetik hastalar, ağır sigara içenler ve çok ileri kemik çekilmesi olan hastalar “all-on-8” prosedüründen faydalanabilir çünkü daha fazla bağlantı noktası vardır ve özellikle kötü durumdaki bir çenede ayrılma riski çok düşüktür.

Düşük kemik yoğunluğu olan hastalar ideal adaylardır, ancak prosedürün toplam süresini artıracak bir kemik grefti gerekebilir.
Her vakada, ilk değerlendirme sırasında diş hekimi hastaların bu operasyon için iyi bir aday olup olmadıklarını belirleyecek ve implant destekli bir protez için gerekli koşulları karşılamıyorlarsa başka tedavi planları önerecektir
ÜCRETSİZ değerlendirmeden yararlanın!
Talep üzerine ve
sizin açınızdan herhangi bir taahhüt olmadan.
%100 ücretsiz danışmanlık. Durumunuzu, ihtiyaçlarınızı ve beklentilerinizi analiz ediyoruz. Ve gerekli bütçeyi şöyle tahmin ediyoruz: Uçak + Otel + Taksi + Tedavi.
Her zaman, yürütülen sürecin tam kontrolünü elinizde tutarsınız. Tam bir huzur.