EniyiKlinik.com, Türkiye’deki Lumineers diş kaplamaları hakkında bilgi sağlar ve nitelikli cerrahlarla bir operasyon rezervasyonu yapmanıza yardımcı olur. Bu içerik yalnızca bilgi amaçlıdır ve bir tıp uzmanının tavsiyesinin yerini alması amaçlanmamıştır.
- Türkiye’de Lumineers diş kaplama fiyatları
- Lumineers diş kaplamaları nedir?
- Öncesi ve sonrası fotoğraflar
- Neden Lumineers kaplamaları seçmelisiniz?
- Lumineers diş kaplamalarının avantajları
- Lumineers kaplamaları farklı kılan nedir?
- Riskler, komplikasyonlar ve yan etkiler
- Ne kadar süre dayanırlar?
- Lumineers diş kaplamasının maliyeti nedir?
- Lumineers veneerler diğer veneerlere uygulanabilir mi?
- Lumineers kimler içindir?
- Lumineers diş kaplamasının maliyeti nedir?
- Sıkça sorulan sorular
Türkiye’de Lumineers diş kaplama fiyatları
İstanbul, Türkiye’de bir Lumineers® diş kaplamasının ortalama maliyeti 300 €’dur. İhtiyaçlarınıza bağlı olarak fiyat 180 € ile 390 € arasında değişebilir. Fiyat, kliniğin itibarına ve kaplamaların miktarına göre değişir.
İşlem lokal anestezi altında gerçekleştirilir ve bir hafta sürer. İstanbul’da kalış süresi, diş hekimine 4 ziyaret ile 8 gündür. Fiyata operasyon ve ilaçlar dahildir. Nihai sonuç hemen görülebilir.
| Zirkonya diş kaplama | 180 € |
| Seramik diş kaplama | 200 € |
| Emax diş kaplama | 250 € |
| Lumineers diş kaplaması | 390 € |
Lumineers diş kaplamaları nedir?
Lumineers kaplamalar, dişleriniz için doğal görünümlü porselen veya başka bir üst sınıf malzemeden yapılmış ultra ince kaplamalardır. Size ideal bir gülümseme sağlamak için sabitlendikten sonra anında sonuç verirler. Bu prosedür hem erkekler hem de kadınlar için uygundur.
Gülüşünüzde büyük bir kozmetik tedavi gerektirmeyen küçük kusurları tedavi eder ve mevcut dişinizin üzerine sorunsuz bir şekilde uygulanabilir.
Ameliyat genellikle porselen kaplama takma işleminden çok daha az invazivdir. İstanbul veya Antalya’daki Dental Lumineers, son derece güçlü ve dayanıklı bir malzeme olan porselenden yapılır.

Diş kaplaması, bir dişin şeklini, görünümünü ve rengini değiştirmenin en popüler yollarından biridir. Günümüzde hastalar,gelişmiş teknolojiler, malzemeler ve teknikler sayesinde her zamankinden daha fazla kaplama seçeneğine sahiptir.
Türk diş klinikleri, Lumineers® adı verilen nispeten yeni bir kaplama tedavisi türünde uzmanlaşmıştır. Gülüşünüzde kozmetik değişiklikler yapmak istiyorsanız, Lumineers kaplamalar ideal çözüm olabilir.
Çoğu durumda, Türkiye’de Lumineers güçlü, kişiselleştirilmiş bir gülümseme oluşturmak ve kusurları kapatmak için kullanılabilir. Lumineers® kaplamalar incedir ve takılmadan önce diş yüzeyinden birkaç milimetre mine çıkarılmasını gerektirir. İstanbul ve Antalya’da Lumineers® veneerler doğrudan orijinal diş yapısının üzerine yerleştirilebilir.

Türkiye’de Lumineers veneerler çarpık ve yanlış hizalanmış dişlerin görünümünü iyileştirebilir, size daha beyaz, daha parlak bir gülümseme verebilir, çatlak veya yontulmuş bir dişi gizleyebilir, dişler arasındaki boşlukları kapatabilir, rahat bir şekilde doğal görünebilir, her dişe ince bir porselen tabakası verebilir, güçlü, dayanıklı bir yüzey ile bakımı kolay olabilir.
Türkiye’de kaplamalar çeşitli amaçlar için kullanılmaktadır. Diş kaplamaları, renk değişikliği, çatlaklar, çipler ve hatta ağır lekeli veya rengi bozulmuş dişler veya diş dolguları gibi küçük diş kusurlarına kalıcı bir çözüm olarak tanımlanır.
Kaplamalar, dişlerinizin yüzeyindeki kusurları gizlemek için bir maske olarak kullanılır. İstanbul ve Antalya’daki diş merkezimizdeki Türkiye’deki diş hekimi, diş kliniğinde kemik seviyesini kontrol ettikten sonra size geleneksel kaplamalar, porselen kaplamalar veya Lumineers® kaplamalar sunacaktır.
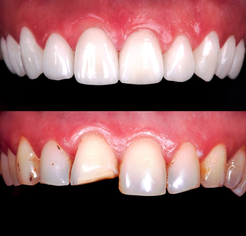
Öncesi ve sonrası fotoğraflar
Neden Lumineers kaplamaları seçmelisiniz?
Lumineers benzersiz bir kaplama türüdür. Lumineers kaplamaların ana avantajı, son derece ince olmaları ve diş yüzeyine hızlı bir şekilde yapıştırılmaları nedeniyle diş yüzeyinin geleneksel kaplamalarla aynı derecede hazırlanmasını gerektirmemeleridir.
Türkiye diş kaplamaları, küçük diş kusurları durumunda gülüşünüzü hızlı bir şekilde dönüştürmek için mükemmel bir seçenektir. Gülüşünüzü iyileştirmek ve estetik açıdan daha doğal görünmek için en iyi seçenek İstanbul veya Antalya’daki diş kliniğini ziyaret etmektir ve hastaya verilen en iyi hizmetin bir parçası olarak tam bir kaplama seti sunulacaktır.
Dişlerinizin arasında bir boşluk varsa ve utanıyorsanız. Lumineers, dişleriniz arasındaki boşlukları gidermek için hızlı, invaziv olmayan bir prosedürdür.
Dişlere doğal, sağlıklı bir görünüm kazandırabilir ve çok ince oldukları ve özel güçlü bir bağla (biraz Süper Yapıştırıcı gibi) yerinde tutuldukları için çok az diş hazırlığı gerekir.
Ayrıca dişlerin rengini, şeklini ve konumunu iyileştirebilir. Rengi bozulmuş veya lekeli tek bir dişi iyileştirmek veya genel olarak ön (genellikle üst) dişleri aydınlatmak için doğru rengi vermek üzere belirli bir porselen tonu seçilebilir.
Kaplama, yontulmuş bir dişi sağlam bir görünüme kavuşturabilir. Porselen, kırık kısmın yerini alan daha kalın bir bölümle dişin tüm ön kısmını kaplar. Kaplamalar, ortodontinin (diş telleri) uygun olmadığı durumlarda küçük boşlukları doldurmak için de kullanılabilir. Bir dişin hizası biraz bozuksa, diğerleriyle aynı hizaya getirmek için bazen bir kaplama yerleştirilebilir.
Dişlerinizde anomaliler veya kusurlar varsa, kompozit yapıştırma da çok iyi sonuç verir. Yapıştırma, kaplama veya Lumineer kadar uzun ömürlü değildir ve rengi donuktur ve Lumineer gibi ışığı yansıtmaz; ancak yapıştırmanın olumlu tarafı, kaplama veya Lumineer’e kıyasla uygun fiyatlı olmasıdır.
Lumineers diş kaplamalarının avantajları

Lumineers diş kaplamaları benzer tedavilere göre çok çeşitli avantajlar sunar. Diş kliniklerine gelen endişeli hastalar için en önemli avantaj, Lumineers uygulanmadan önce dişlerde hiçbir acı verici değişiklik yapılmasına gerek olmamasıdır. Kaplamalar o kadar ince ve göze batmaz ki konuşma ve yemek yeme nadiren etkilenir.
İşte Lumineers’in diğer faydalarından bazıları:
- 20 yıldan fazla dayanırlar.
- Dişin iç mekanizmalarını acımasızca delmek yok
- Enjeksiyon yok.
- Ağrı veya rahatsızlık yok.
- Türkiye’deki bir diş kliniğine sadece iki diş hekimi ziyareti gerekir.
- Aynı anda birkaç Lumineers yerleştirilebilir.
- Neredeyse doğal dişler gibi görünen mükemmel, inci beyazı dişler.
- Çok daha ince kaplama.
- Tamamen geri döndürülebilir bir tedavi.
- Sonuç mükemmel bir gülümsemedir.
Lumineers diş kaplamalarının bir diğer avantajı da kalıcı kaplamalarınızın diş laboratuvarı tarafından frezelenmesini beklerken geçici kaplamalar takmanıza gerek kalmamasıdır.
Geleneksel kaplamalar için ilk randevudan sonra, artık hassas olan dişinizi korumak ve şekilsiz görünümünü gizlemek için bir sonraki randevunuza kadar geçici dişler takmanız gerekecektir.
Bu geçici dişler bir diş laboratuvarı tarafından ölçüye göre yapılmaz ve gülüşünüze uymayabilir. Bu nedenle birçok hasta geçici kaplamaların görünüm ve hissinden memnun değildir.

Lumineers kaplamaları farklı kılan nedir?
Lumineers diş kaplamaları, olağanüstü dayanıklılığıyla bilinen porselenden yapılır. Lumineers porselen diş kaplamalarından çok daha ince olmasına rağmen, kırılma veya yontulma olasılığı daha düşüktür. Dahası, porselenin rengi değiştirilebilir ve dengelenebilir. Bu, farklı opaklık ve yarı saydamlık seviyelerinin elde edilebileceği anlamına gelir.
Dahası, Lumineers diş kaplamalarının takılmasının bu kadar kolay olmasının ana nedenlerinden biri, önceden çok az gravür yapılması gerekmesidir. Porselen kaplamalarda, mümkün olan en iyi uyumu sağlamak için dişlerin kalıcı olarak değiştirilmesi veya delinmesi gerekebilir.
Ancak Dental Lumineers, Türkiye’deki diş kliniklerini ziyaret ederken herhangi bir delme, anestezi veya kapsamlı aşındırma olmadan güzel bir son ürün sunar.
Bu tek başına, geleneksel kaplamalara kıyasla dişçi koltuğunda geçirilen süreyi neredeyse yarı yarıya azaltabilir ve en iyi gülüş tasarımını elde etmek için yüksek kaliteli bir hizmet sunulur.

İlk ziyaret sırasında diş hekimi, dişlerin birbirine tam olarak nasıl oturduğunu belirlemek için bir ısırma ölçüsü ve röntgen çekebilir. Lumineer’lerinizin ölçüye göre yapılabilmesi için ısırma ölçüleri laboratuvara gönderilir.
Diş hekimiayrıca diş çürüğü veya diş eti hastalığı belirtisi olmadığındanemin olmak için dişleri dikkatlice inc eler. Diş hekimi ve ekibiyle birlikte Lumineers’in rengini seçer (belki de yeni beyazlatılmış dişlerinize uyması için) ve istediğiniz şeffaflık seviyesini tartışırsınız.
Lumineer’ler ikinci randevuda dişlere yapıştırılır. Lumineer’ler yerleştirildikten sonra, diş hekimi tamamen pürüzsüz hale gelene kadar onları dikkatlice parlatır. Bu pürüzsüzleştirmenin avantajı, bakteri ve leke yapıcı maddelerin Lumineer’lerin yüzeyine kolayca yapışamamasıdır.
Son olarak, Lumineer’ler ayrılır. Bu noktaya kadar, oklüzal izlenimlerin dişlerin doğal olarak birleşeceğini gösterdiği yere hala bağlıdırlar. Tedavi tamamlandığında geriye güzel beyaz bir gülümseme ve mükemmel, sağlıklı dişler kalır.

Riskler, komplikasyonlar ve yan etkiler
Lumineers diş kaplamaları ile ilişkili nadir riskler vardır:
- Diş hassasiyeti ;
- Renk tutarsızlıkları;
- Diş eti iltihabı;
- Diş eti tahrişi;
- Kaplamaların yanlış konumlandırılması;
- Dişleriniz ve kaplamalar arasında renk farklılıkları.
Bu nedenle, İstanbul’da doğru cerrahı seçmenize yardımcı olmamız için bize güvenmeli ve saygın ve deneyimli bir uygulayıcıyı tercih etmelisiniz.
Dahası, bu operasyona İslam’da izin verilmektedir. Tıbbi bir avantaj sağladığı ve kişinin yaşam kalitesini artırdığı için haram değil helal bir ameliyattır.
Ne kadar süre dayanırlar?
Lumineers, hızlı ve acısız bir Hollywood Gülüşü sağlayan bir tür aşamalı kaplamadır. Lumineers tıpkı doğal dişler gibi güçlü ve dayanıklıdır.
Birçok hasta Lumineers’i geleneksel kaplamalara tercih eder çünkü Lumineers çok az hazırlık gerektirir veya hiç gerektirmez. Lumineers diş kaplamaları, iyi bir ağız hijyeni ve bakımı ile 10 ila 20 yıl dayanacak şekilde tasarlanmıştır.
Bu, günde iki kez diş fırçalamak, her gün diş ipi kullanmak ve Türkiye’deki diş kliniklerinde düzenli kontroller planlamak anlamına gelir. Bu, dişlerinizin ve diş etlerinizin sağlıklı olmasını sağlayacak ve size yıllarca sürecek bir gülümseme verecektir.
Bu yıllar boyunca, Lumineers için herhangi bir endişe duymadan diş tedavisi yapılabilir. Ayrıca 5 yıl garantilidir ve ücretsiz olarak değiştirilebilir. Bazı kısıtlamalar geçerli olduğundan daha fazla ayrıntı için diş hekiminize danışın.
Lumineers diş kaplamasının maliyeti nedir?
Türkiye’de Lumineers diş kaplamalarının maliyeti diş kliniğine ve kaplanacak diş sayısına bağlı olarak değişebilir. Bununla birlikte, Türkiye’de tek bir diş için Lumineers diş tedavisinin fiyatı genellikle 350 ila 500 € arasındadır.

Lumineers veneerler diğer veneerlere uygulanabilir mi?
Kaplama kopar veya hasar görürse, hastalar bunu kendileri onarmaya çalışmamalıdır. Randevu almak için bizimle iletişime geçin.
Diş hekiminin sorunu değerlendirebilmesi ve en iyi hareket tarzını belirleyebilmesi için siz gelene kadar restorasyonu güvende tutun. Hafif kaplamaları onarabilir veya yeterli hasar varsa değiştirebilir. Diş tedavisi hastaya teslim edilir ve diş kliniği herhangi bir ağrı olmadan konsültasyona başlayabilir.
Lumineers kimler içindir?
Lumineers diş kaplamaları ağrısız bir gülümseme isteyen herkes için uygun olabilir. Geri çağırılan her beş hastadan dördü Lumineers için adaydır. Dental Lumineers, hastaların istediği gülüşe ulaşma yolunda atılan en büyük adımdır.
Kontakt lens şeklindeki bu “gülüş şekillendiriciler” o kadar ince, ancak o kadar güçlüdür ki, hassas diş yapısını çıkarmaya, anesteziye, geçici protezlere ve dolayısıyla ağrıya gerek yoktur. Hastanın gülümseme sorunu ne olursa olsun, Lumineers mükemmel bir çözümdür.
Gençler ve ergenlik öncesi çocuklar Lumineers’ten faydalanabilir ve Türkiye’deki diş kliniğinde bir tedavi planı sunmadan önce, diş hekimi sadece normal bir kontrol için hastanın röntgenini çekecektir. HIV virüsü taşıyan hastalar da bu tedaviden faydalanabilir.
Ayrıca, hareket kabiliyeti kısıtlı kişilerin (PRM) tesisimizin tüm alanlarına kolayca erişebilmelerini sağlıyoruz.
Lumineers diş kaplamasının maliyeti nedir?
Türkiye’de bir Lumineers diş kaplamasının ortalama maliyeti 390 € olup, minimum 180 € ve maksimum 390 €’dur. İstanbul’da fiyatlar her zaman Ankara, Antalya veya İzmir’den biraz daha pahalıdır. Bu fiyat, takılacak kaplama sayısına ve diş cerrahının itibarına göre değişir.
Seçim yapmakta zorlanıyorsanız, işleminizin başarılı olması için size yardımcı olabiliriz, hem de indirimli bir fiyatla.
ÜCRETSİZ değerlendirmeden yararlanın!
Talep üzerine ve
sizin açınızdan herhangi bir taahhüt olmadan.
%100 ücretsiz danışmanlık. Durumunuzu, ihtiyaçlarınızı ve beklentilerinizi analiz ediyoruz. Ve gerekli bütçeyi şöyle tahmin ediyoruz: Uçak + Otel + Taksi + Tedavi.
Her zaman, yürütülen sürecin tam kontrolünü elinizde tutarsınız. Tam bir huzur.
Sıkça sorulan sorular
Lumineers kaplamalar ne kadar süre dayanır?
Lumineers diş kaplamaları özellikle dayanıklıdır. Titiz üretim süreçleri sayesinde 20 yıldan fazla dayanabilirler. Doğru bakımla, uzun yıllar boyunca parlak bir gülümsemenin tadını çıkarabilirsiniz.
Lumineers kaplamalar için bir yaş sınırı var mı?
Hayır, Lumineers veneerler her yaşta uygulanabilir. Hem genç hem de yaşlı hastalarda hasarlı, aşınmış veya rengi bozulmuş dişleri düzeltebilirler. Hatta görünümlerini düzeltmek için mevcut protezlerin üzerine bile takılabilirler.
Türkiye’de Lumineers diş kaplamaları garantili midir?
Lumineers diş kaplamaları, dünyanın her yerinde takıldıkları günden itibaren 5 yıl garantilidir. Bir sorun ortaya çıktığında, bu çoğunlukla bu süre zarfında olur. Bununla birlikte, bu çok nadirdir ve çoğu Lumineers kaplama herhangi bir sorun olmadan 20 yıldan fazla dayanır.
Lumineers diş kaplamaları mutsuz dişleri düzeltebilir mi?
Evet, Lumineers diş kaplamaları, “mutlu dişler” arasındaki boşluk da dahil olmak üzere iki diş arasındaki boşluğu maskelemek veya azaltmak için takılabilir. Hasta, zaman alan ortodontik tedaviye gerek kalmadan tamamen mutlu olduğu bir gülümsemeye kavuşur.
Diş kaplamaları için en ucuz ülke hangisidir?
En iyi fiyatlardan yararlanmak için diş kaplamalarınızı yurtdışında yaptırmak iyi bir fikirdir. Macaristan, düşük fiyatları ve yüksek kalitesiyle diş turizminin liderlerinden biridir. Romanya ve Türkiye de diş kaplamaları ve kronlar için mükemmel ve düşük maliyetli hizmetler sunmaktadır.





