EniyiKlinik.com sizi Türkiye’deki Emax diş kaplamaları hakkında bilgilendirir ve nitelikli Türk cerrahlarla bir operasyon rezervasyonu yapmanıza yardımcı olur. Bu içerik yalnızca bilgi amaçlıdır ve bir tıp uzmanının tavsiyesinin yerini alması amaçlanmamıştır.
- Türkiye’de Emax veneer ne kadara mal olur?
- Emax diş kaplaması nedir?
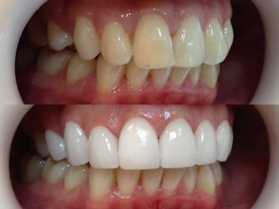
- Öncesi ve sonrası fotoğraflar
- En iyi adaylar kimlerdir?
- Prosedür
- Riskler, komplikasyonlar ve yan etkiler
- Türkiye’de Emax diş kaplama sonrası alınması gereken önlemler
- Türkiye’de Emax diş kaplaması ne kadara mal oluyor?
- Sıkça sorulan sorular
Türkiye’de Emax veneer ne kadara mal olur?
Türkiye’de bir Emax kaplamanın ortalama maliyeti 230 €‘dur. Diş hekimi dişleri uyuşturur. Tedavi 6 gün sürer. İstanbul’da kalış süresi 8 gündür. Fiyat, diş hekiminin uzmanlığına, takılacak kaplama sayısına ve hastanın çene büyüklüğüne göre değişir. Nihai sonuç hemen görülebilir.
| Zirkonya diş kaplama | 180 € |
| Seramik diş kaplama | 200 € |
| Emax diş kaplama | 230 € |
| Lumineers diş kaplaması | 390 € |
Hollywood Gülüşü son ödelde çok moda! Sadece… Özellikle Avrupa’da doğru becerilere sahip olmak için bir portföye ihtiyacınız var. Cihazınızı sorunsuz bir şekilde kullanabilirsiniz. Türkiye’de Emax diş kaplamaları keşfedildi!
Emax diş kaplaması nedir?
Emax tedavisi Empress şirketi tarafından yaratılmıştır ve Maximum Empress anlamına gelmektedir. Emax diş, güçlendirilmiş porselenden yapılmış peliküler bir kaplamadır. Pişirilmiş ve preslenmiş bir seramiktir.

Emax diş protezleri çeşitli renk tonlarında mevcuttur. Her bir Emax kaplama yarı saydam ve doğal görünümlüdür. Ayrıca, Türkiye’deki Emax diş kaplamalarında yüksek direnç ve uzun ömür sunan bir malzeme kullanılmaktadır.
Öncesi ve sonrası fotoğraflar
En iyi adaylar kimlerdir?
Türkiye’de Emax diş kaplamasından faydalanmak için, normal bir diş oklüzyonuna sahip olmanız gerekir:
- Hasarlı dişler,
- Renksiz veya lekeli dişler,
- Kırık dişler,
- Değiştirilmesi gereken eski kronlar..
Önemli not: Emax veneer çürük bir dişin üzerine veya eksik bir dişin yerine yerleştirilemez.
Emax veneerlerin avantajları: Bu malzeme tamamen porselenden yapılmıştır ve metal desteği yoktur. Metale alerjisi olan kişiler için uygundur.

Ayrıca geleneksel bir kron geri çekildiğinde diş etlerinde ortaya çıkan gri çizgiden hoşlanmayan kişiler için de uygundur. Bu prosedür hem erkekler hem de kadınlar için uygundur.
Prosedür
Tahmini fiyat, tıbbi dosyanızı inceledikten sonra diş hekimimizin teşhisi temelinde hazırlanır. Daha sonra, Türkiye’ye geldiğinizde, diş cerrahı Türkiye’de diş kaplamalarına uygunluğunuzu teyit etmek için diş yapınıza göre klinik bir muayene gerçekleştirecektir.
HIV virüsü taşıyor musunuz? Siz ve personel için tam bir güvenlik içinde Emax diş kaplamalarını taktırmanız için özel bir klinik ayrılmıştır.
Takmadan önce
Özellikle istediğiniz kaplama sayısına göre size bir fiyat teklifi vermek için uzaktan bir ön teşhis gerçekleştirilebilir. Bununla birlikte, Türkiye’de Emax diş protezleri takılmadan önce yüz yüze bir konsültasyon şarttır.
Türk diş cerrahisinde yapılan klinik muayene sayesinde, cerrah dişlerinizin sağlıklı olduğundan emin olabilir.

Montaj günü
Türkiye’ de Emax diş kaplamaları yüksek teknolojiye sahip bir diş cerrahisinde kişiye özel olarak üretilir. Tedavi bir hafta içinde 2 veya 3 seansta gerçekleştirilir. İşlem 4 aşamada gerçekleştirilir:
1- Gelecekteki gülüşün modellenmesi
Bunu yapmak için kozmetik diş hekimi dişlerinizin fotoğraflarını çeker. Daha sonra ölçü alır. Daha sonra dişlerinizi şekillendirmek için ağzınıza bir ağızlık yerleştirilir.
2- Anestezi enjekte edilmesi
Emax diş kaplamaları Türkiye’de lokal anestezi altında takılır. Anestezi, kaplamaların yerleştirileceği dişleri 2 mm kalınlığa kadar oymak için kullanılır.
3- Yeni ölçülerin alınması
Dişleriniz oyulduktan sonra diş hekimi tekrar ölçülerini alır. Daha sonra geçici kaplamalar yapıştırılır. Kalıcı kaplamaların hazır olması için yeterli bir süre.

4- Kalıcı Emax kaplamaların takılması
Kuron veya diğer geleneksel kaplamalarda olduğu gibi dişler üzerinde çalışmanıza gerek yoktur. Nihai Emax veneerler laboratuvarda hazırlanır.
Hazır olduklarında (dökümden birkaç gün sonra). Emax kaplamalarınızın Türkiye‘de kalıcı olarak takılması için bir seans için kliniğe dönersiniz.
Genel olarak, prosedür 35 dakika ile 4 saat arasında sürebilir. Bu, sipariş edilen kaplama sayısına bağlıdır. Dahası, iyi bir ağız hijyeni sağladığınız sürece bir Emax diş kaplaması 10 ila 15 yıl arasında dayanır.
Montajdan sonra
İstanbul’da Emax diş protezi takıldıktan sonra yemek yiyebilirsiniz. Ancak muhtemelen hafif bir rahatsızlık hissedeceksiniz. Bu, siz yeni ağzınıza alışırken birkaç gün sürecektir.
Operasyondan iki gün sonra diş cerrahınızla tıbbi bir kontrolden geçeceksiniz. Her şey yolunda giderse, eve dönebilir ve kaplamalarınızı iyi durumda tutmak için doktorunuzun tavsiyelerine uyabilirsiniz.

Riskler, komplikasyonlar ve yan etkiler
Emax diş kaplamaları taktırırken bazı nadir riskler olabilir:
- Diş hassasiyeti;
- Genel rahatsızlık
- İltihaplı diş etleri ;
- Diş özüne zarar verme riskinde artış;
- Farklı dişler arasında zıt tonlar.
Bu nedenle, İstanbul’da doğru cerrahı seçmenize yardımcı olmamız için bize güvenmeli ve saygın ve deneyimli bir uygulayıcıyı tercih etmelisiniz.
Bu tür ameliyatlar İslami ve yasaldır. Haram değil helal bir ameliyattır, çünkü ihtiyacı olanların yaşam kalitesini artırır.
Engellilerin tesislerimizden tam olarak yararlanabilmelerini sağlamak için önlemler alınmıştır.
Türkiye’de Emax diş kaplama sonrası alınması gereken önlemler
Emax, aşınmaya ve leke tutmaya karşı dayanıklı bir diş kaplama türüdür. Ancak bu, ona dikkat etmeniz gerekmediği anlamına gelmez. Aslında, Türkiye’de bir Emax diş kaplaması takıldıktan sonra şunları yapmanız önerilir
- Her yemekten sonra dişlerinizi yumuşak bir diş fırçası ile fırçalayın,
- Dişlerinizi gargara ile çalkalayın,
- Her akşam diş ipi kullanın,
- Sert yiyecekleri çiğnemekten kaçının (Maeva Ghennam gibi bir faset kaybetme riskini göze alarak)
- Kötü alışkanlıklardan kurtulun (tırnak yeme, kalem ucu ısırma, diş sıkma vb.)
- Ve düzenli diş taşı temizliği yaptırın.

Sonuç olarak,bir Hollywood Gülümsemesine sahip olabilmeniz için İstanbul seyahatinizi mümkün olan en kısa süredeve mümkün olan en iyi fiyata organize etmek için sabırsızlanıyoruz. Şimdi ücretsiz kişiselleştirilmiş bir fiyat teklifi isteyin!
Türkiye’de Emax diş kaplaması ne kadara mal oluyor?
Türkiye’de, en iyi diş kliniklerinden birinde bir Emax diş kaplaması diş başına 250 € ‘dur. Avrupa’da tek bir Emax diş kaplamasının fiyatı 1.200 €’dur. Bu fiyata ameliyat öncesi konsültasyon, röntgen, ölçü, takma, anestezi, otel ve havaalanı transferi dahildir.
Karar vermekte zorlanıyorsanız, işleminizin başarılı olması için size daha düşük bir ücretle yardımcı olabiliriz.
ÜCRETSİZ değerlendirmeden yararlanın!
Talep üzerine ve
sizin açınızdan herhangi bir taahhüt olmadan.
%100 ücretsiz danışmanlık. Durumunuzu, ihtiyaçlarınızı ve beklentilerinizi analiz ediyoruz. Ve gerekli bütçeyi şöyle tahmin ediyoruz: Uçak + Otel + Taksi + Tedavi.
Her zaman, yürütülen sürecin tam kontrolünü elinizde tutarsınız. Tam bir huzur.
Sıkça sorulan sorular
Türkiye’de Emax diş kaplamasının yaşı nasıldır?
Emax diş kaplamaları çok popülerdir çünkü kompozit kaplamalardan daha iyi yaşlanırlar. Emax filmler 10 ila 15 yıl dayanır ve küçülmez. Bununla birlikte, kötü ağız hijyeni Emax kaplamaların soyulmasına veya düşmesine neden olabilir.
İstanbul’da Emax kaplamalarımın şeklini ve rengini seçebilir miyim?
İstanbul’da Emax veneerlerin rengini ve şeklini seçebilirsiniz. Emax veneerler çeşitli renk tonlarında mevcuttur ve ameliyat öncesi konsültasyonlar sırasında yazılım kullanılarak hazırlanan modele göre laboratuvarda üretilir.
Emax diş kaplamaları geri döndürülebilir mi?
Hayır, Emax diş kaplamalarının takılması geri dönüşü olmayan bir işlemdir. Dahası, eğer uygulama başarılı olursa, iyi bir ağız hijyeni sağladığınız sürece önümüzdeki 15 yıl boyunca içiniz rahat olacaktır. Bu arada, bu teknik ömür boyu 1 veya 2 kez tekrarlanabilir.
Kaplamalar düşebilir mi?
Diş kaplamalarının düşmesi nadirdir, ancak mümkündür. Eğer düşerse ve düşen kaplama hala sağlamsa, tekrar yapıştırılabilir. Bu kaplamanın ömrünü uzatır. Ancak, düşen bir kaplamanın yeniden yapıştırılmasından sonra daha da fazla özen gösterilmelidir.
Diş kaplaması dişlere zarar verebilir mi?
Emax diş kaplaması size simetrik dişler ve göz kamaştırıcı beyazlıkta bir gülümseme kazandırır. Bu sonuca ulaşmak için, kaplamaların yerleştirilmesi amacıyla birkaç milimetre mine çıkarılması gerekir. Ancak içiniz rahat olsun, bu işlem dişlerinize zarar vermez.
Emax diş kaplamalarının uygulanması ağrılı mıdır?
Hayır, bu işlem sırasında herhangi bir acı hissetmeyeceksiniz. Çünkü Emax diş kaplamaları lokal anestezi altında takılır. Tek dezavantajı, işlemin geri döndürülemez olmasıdır. Ancak sonuç genellikle hastaların beklentileri doğrultusundadır.




