Macaristan’da Hollywood Smile fiyatı
Budapeşte, Macaristan’da Hollywood Gülümsemesinin ortalama maliyeti 2.100 €’dur. İhtiyaçlarınıza bağlı olarak fiyat 1.900 € ile 2.300 € arasında değişebilir.
| Prosedür | Macaristan Fiyatı |
|---|---|
| Hollywood Gülümsemesi | 2100 € |
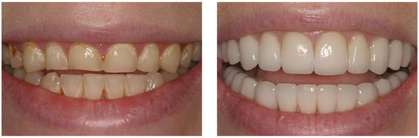
Hollywood Gülüşü nedir?
Hollywood Gülüşü, gülüşünüzün tamamen yenilenmesidir, yani diş implantları kullanılarak her iki çenenin tamamen yeniden yapılandırılması ve ayrıca tüm dişlerde veya en azından her iki çenede görünen tüm dişlerde, bazen küçük azı dişlerine kadar ve dahil olmak üzere diş kaplamaları.
Macaristan’da Budapeşte’de Hollywood Gülüşü muhtemelen tüm estetik diş tedavileri arasında en popüler olanıdır. Diş kaplamaları, aşağıdakiler de dahil olmak üzere bir dizi çirkin diş durumu için mükemmel bir çözümdür:
- Renksiz dişler
- Aşınmış dişler
- Yontulmuş dişler
- Eksik dişler
- Yanlış hizalanmış dişler

Macaristan’da Hollywood Smlie gülüşü için iki tür diş kaplaması vardır. Her biri sadece 300 €’ya mal olan yüksek kaliteli ekonomik kaplamalar takıyoruz. Bunlar, Hollywood gülümsemesini makul bir maliyetle üretmek için dişin ön tarafına oturan porselen kabuklardır.
Kaplamalar dişlerin rengini, şeklini, boyutunu ve hatta uzunluğunu değiştirmenin etkili bir yoludur.
Prosedür nasıl işliyor?
Dişlerinizin bir ölçüsünü alarak başlıyoruz ve kaplamalar daha sonra balmumunda modelleniyor. Bir kalıp yapılır ve nihai kaplamayı üretmek için erimiş porselen basınç altında zorlanır.
Her bir kaplama sizin için ölçüye göre yapıldığından, bu prosedürü tamamlamamız yalnızca beş iş günü sürer. Ancak bu sürenin büyük bir kısmı diş laboratuvarında geçecektir. Böylece bu ünlü kaplıca kentinin olanaklarının tadını çıkarmak için biraz boş zamanınız olacak.

Diş kaplamaları leke tutar mı?
Hayır. Lekelenmeye karşı son derece dayanıklıdırlar ve tütün dumanı, kırmızı şarap veya kahveye maruz kaldıklarında bile zamanla bozulmazlar.
Macaristan’daki Hollywood Gülüşü kesinlikle beyazlatmadan daha üstün ve daha uzun ömürlü bir kozmetik sonuç verir. Yapıldıkları porselen o kadar incedir ki yarı saydamdır ve ışığı doğal diş minesiyle aynı şekilde yansıtır, bu nedenle kaplamalar estetik açıdan hoş olduğu kadar doğal da görünür.
Macaristan’da Hollywood Gülüşünün Kalitesi
Yalnızca en kaliteli porselen kaplamaları seçiyoruz, ancak tüm kaplamalar aynı değildir.
Budapeşte’deki bazı Macar diş hekimleri daha ucuz, ancak daha düşük kaliteli laminat veya kompozit kaplamalar sunmaktadır. Bu ürünler üzerinde yapılan çalışmalar, yapışma bozukluğu, renk bozulması ve doğal dişlerle zayıf renk uyumu gibi endişe verici nedenler göstermiştir. Kompozit veneer genellikle porselen veneerden çok daha ucuzdur, ancak o kadar uzun ömürlü değildir ve sık sık değiştirilmesi gerekir. Genellikle zaman içinde daha pahalı hale gelirler.

Diğer ‘marka’ kaplamalar, takılabilecekleri koşullar açısından oldukça sınırlı olabilir.
Bu nedenlerle, Macaristan’daki Hollywood Smile’da bir gülümseme elde etmek için yalnızca yüksek kaliteli ürünler kullanacağız. Taktığımız her kaplama, her hastanın gülüşü için mükemmel bir uyum, doğru renk, boyut ve şekil sağlamak için kendi laboratuvarımız tarafından ayrı ayrı üretilmektedir.
Diş kaplaması aşınırsa ne olur?
Budapeşte’de diş kaplaması takmak için ince bir doğal mine tabakası kaldırılarak diş hazırlanır. Kaplama takıldıktan sonra, orijinal halinize geri dönmeniz mümkün olmayacaktır. Kaplama yontulur veya çatlarsa değiştirilmesi gerekecektir.
Takıldıktan sonra kaplamanın rengi değiştirilemez. Kalan dişlerinizi beyazlatmayı planlıyorsanız, renk uyumu elde etmek için bunu kaplama takılmadan önce yapmanız en iyisidir.
Diğer birçok kişi gibi dişlerinizi sıkıyor ve gıcırdatıyorsanız, bu durum kaplamaya zarar verebileceğinden kaplamalar iyi bir seçim olmayabilir.
Diş kaplamaları VS diş kronları
Kaplama her koşul için uygun bir çözüm olmayabilir. Sadece ön dişler için ve sadece sağlıklı ve iyi durumdalarsa uygundurlar.
- Azı dişlerinizle ilgili sorunlarınız varsa
- Dişlerinize yoğun dolgu yapılmışsa
- Kötü durumdalarsa
O zaman muhtemelen bunun yerine tam bir kurona ihtiyacınız vardır.

Seçtiğiniz kuron türüne bağlı olarak, bunlar biraz daha ucuz olabilir, ancak yeni bir kuronun takılması genellikle daha fazla iş gerektirir, bu nedenle bu seçenek, Macaristan’da bir Hollywood Gülüşü elde etmek için tedavi süresinin genellikle bir haftaya düştüğü anlamına gelir.
ÜCRETSİZ değerlendirmeden yararlanın!
Talep üzerine ve
sizin açınızdan herhangi bir taahhüt olmadan.
%100 ücretsiz danışmanlık. Durumunuzu, ihtiyaçlarınızı ve beklentilerinizi analiz ediyoruz. Ve gerekli bütçeyi şöyle tahmin ediyoruz: Uçak + Otel + Taksi + Tedavi.
Her zaman, yürütülen sürecin tam kontrolünü elinizde tutarsınız. Tam bir huzur.