Tunus’ta bir diş implantının fiyatı
Tunus’ta bir diş implantının ortalama maliyeti 320 €’dur. İhtiyaçlarınıza bağlı olarak fiyat 200 ila 350 € arasında değişebilir. Prosedür lokal anestezi altında gerçekleştirilir ve 20 ila 40 dakika arasında sürer. Kalış süresi 4-7 gündür. Fiyata anestezi, operasyon ve ilaçlar dahildir. Nihai sonuç hemen görülebilir.
| Easyimplant® diş implantı | 320 € |
| Ankylos® diş implantı | 610 € |
| Strausmann® diş implantı | 750 € |
| Metal-seramik kuron | 150 € |
| Zirkonya kuron | 250 € |
Diş implantı nedir?
Tunus’ta diş implantı bir diş değiştirme prosedürüdür. Bir dişinizi kaybettiyseniz, diş implantı, kendi dişiniz gibi görünen, hissettiren ve davranan yeni bir dişe sahip olmanın güvenli, istikrarlı ve kalıcı bir yoludur.
Diş implantı aslında çene kemiğine entegre edilen yedek dişin köküdür. Görünmeyecek şekilde diş eti çizgisinin altına yerleştirilir; daha sonra implanta diş etinden çıkıntı yapan kısa bir direk takılır ve bunun üzerine bir kuron (takma diş) yerleştirilir.

Diş implantları için iyi bir aday mıyım?
Dental implantlar, sağlık durumu iyi olan ve çenesinde kemik kaybı olmayan kişiler için uygundur. Kemik kaybı genellikle ileri diş eti hastalığı çene kemiğine ilerlediğinde ortaya çıkar.
Bu hastalık dişleri yerinde tutan dokulara saldırarak düşmelerine neden olur. Bu hastalığın bir sonucu olarak dişinizi kaybettiyseniz, kemik grefti adı verilen ayrı bir cerrahi prosedürle yeniden inşa edilmediği sürece, çenenizde diş implantını yerleştirmek için yeterli kemik olması pek olası değildir. Kemik grefti yaygın bir prosedür olmasına rağmen, diş implantınızın yerleştirilmesini bir yıla kadar geciktirebilir.
Sigara içenler diş implantları için iyi adaylar değildir. Sigara içmek vücudun enfeksiyonla mücadele etme ve iyileşme yeteneğini tehlikeye atar; ayrıca kan akışını azaltarak hücrelere ulaşabilen oksijen ve besin miktarını azaltır.
Sigara içmeye devam ederseniz, implant özellikle ilk takıldığında risk altındadır, ancak ömrü boyunca da risk altında kalacak ve potansiyel olarak başarısız olmasına yol açacaktır.

tunus’ta sadece bir dişhekimliği okulu vardır ve bu okul sadece en iyi adayları dişhekimi olarak yetiştirmek üzere kabul etmektedir. Eğitim, beş yıllık eğitimin ardından bir yıllık staj ve sonrasında implantoloji gibi uzmanlık eğitimi ile Batı ülkelerindekiyle aynı düzeydedir.
tunus’taki diş hekimlerinin Uluslararası Oral İmplantologlar Kongresi (ICOI) gibi saygın meslek örgütlerine üye olmaları muhtemeldir.
tunus’taki özel dental kuruluşlar moderndir ve dijital röntgen ve 3D/CT tarama dahil olmak üzere en son teşhis ve tedavi teknolojileriyle donatılmıştır.
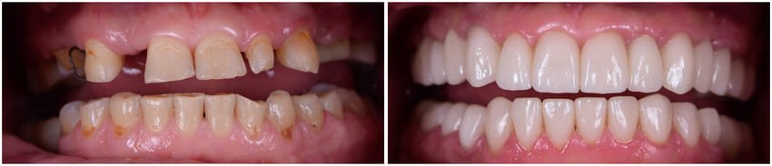
Önce/sonra fotoğrafları




Prosedürün seyri
Neredeyse tüm diş prosedürleri bir diş turisti olarak başarıyla gerçekleştirilebilir ve diş implantları da bir istisna değildir. Bununla birlikte, bu iki aşamalı bir süreçtir, bu nedenle diş implantı prosedürünü tamamlamak için Tunus’a iki ayrı kısa seyahat planlamanız gerekecektir.
İlk ziyarette diş implantı çenenize yerleştirilecektir. İhtiyaçlarınıza bağlı olarak birden fazla implant olabilir. Prosedür lokal anestezi veya bilinçli sedasyon altında gerçekleştirilir. Diş hekimi diş etinde küçük bir kesi yapar.
Diş eti, diş hekiminin çene kemiğine erişebilmesi için bir flep oluşturacak şekilde geriye katlanır. Daha sonra çene kemiğinde küçük bir delik açılır ve implant yerleştirilir. Diş eti kapağı yerine dikilir ve dikişler çözüldükten sonra ağzınızda implantın izini göremezsiniz.
İmplant daha sonra en az üç ay – genellikle daha uzun – yerinde bırakılır ve bu süre zarfında osseointegrasyon adı verilen bir süreçte çene kemiği ile kaynaşır. Bu sürecin amacı, takma dişinizin oturması için sağlam bir temel sağlamaktır. Ayrıca diş etlerinizin iyileşmesi için de zaman kazandırır.
İkinci ziyaretinizde, diş hekiminiz implantları ortaya çıkarmak için genellikle lokal anestezi altında diş etinizi tekrar açacaktır. İmplanta bir ucundan küçük bir direk (abutment) takılır ve diğer ucu diş etinden dışarı çıkar. Bu uca bir kuron (takma diş) takılarak dental implant prosedürü tamamlanır.
İmplantasyon Zaman çerçevesinin özeti:

1. Aşama: Tunus’a ilk seyahatiniz sırasında diş implantı çenenize yerleştirilir. İşlem normalde 1 veya 2 saat sürer. Diş hekiminizin tavsiyesi üzerine birkaç gün sonra eve dönebilirsiniz.
2. Aşama: Tunus’a dönmeden önce en az üç ay beklemeniz gerekecektir. Yerel bir diş hekimi sizin ve implantınızın hazır olup olmadığını teyit edebilir (küçük bir ücret karşılığında).
3. Aşama: Üç ay (veya daha fazla) sonra kuronun takılması için Tunus’a dönün. Bu son aşamayı tamamlamak için ülkede yalnızca birkaç gün kalmanız gerekir.
En iyi fiyata doğru kliniği seçmekte zorlanıyor musunuz? Koordinatörümüz Tunus’taki operasyonunuzun başarılı geçmesi için size ücretsiz olarak yardımcı olabilir. Bizden ücretsiz fiyat teklifi isteyin.
ÜCRETSİZ değerlendirmeden yararlanın!
Talep üzerine ve
sizin açınızdan herhangi bir taahhüt olmadan.
%100 ücretsiz danışmanlık. Durumunuzu, ihtiyaçlarınızı ve beklentilerinizi analiz ediyoruz. Ve gerekli bütçeyi şöyle tahmin ediyoruz: Uçak + Otel + Taksi + Tedavi.
Her zaman, yürütülen sürecin tam kontrolünü elinizde tutarsınız. Tam bir huzur.